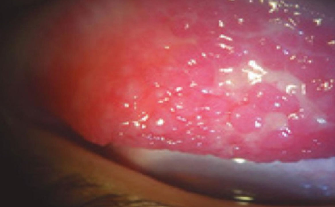
Fig. 2B Ipertrofia papillare al tarso inferiore, presenza di papille giganti e filamenti mucosi al tarso superiore.
Home Dry eye e cheratocongiuntivite di Vernal: un case report Fig. 2B Ipertrofia papillare al tarso inferiore, presenza di papille giganti e filamenti mucosi al tarso superiore.





