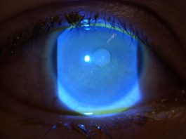
Strumentazione ad alta tecnologia per la diagnosi dell’occhio secco
Riassunto
La dry eye disease (DED) è una condizione multifattoriale complessa, spesso difficile da diagnosticare per la scarsa...
MicroRNA nelle lacrime: una nuova finestra sulla salute
Riassunto
Cosa possono rivelare le lacrime sulla nostra salute? Oltre a essere il nostro modo naturale di esprimere...
Oncologia oculare pediatrica: approccio clinico, ecografico e diagnosi differenziale in un...
Riassunto
L'oncologia oculare pediatrica rappresenta una sfida diagnostica per l’oftalmologo e il pediatra. Questo articolo descrive un caso...
Strabismo e patologie retiniche in età pediatrica
Riassunto
La deprivazione visiva persistente mono o bilaterale, soprattutto in età pediatrica, può compromettere la fusione sensoriale ed...
Focus sulle uveiti pediatriche
Riassunto
Le uveiti pediatriche rappresentano il 5-10% di tutte le uveiti trattate nei centri di riferimento terziari. Hanno...
Nuove regole di tassazione per gli oculisti (prima parte)
Ormai da due anni è in corso un profondo processo di trasformazione e aggiornamento del sistema tributario...
Retinopatia diabetica: approcci innovativi e prospettive future
Riassunto
La retinopatia diabetica (RD) rappresenta la principale complicanza oculare del diabete. Dal momento che la sua prevalenza...
Crocine, cianidine e cumarina nel trattamento delle patologie retiniche
Riassunto
Lo stress ossidativo generato durante i processi infiammatori può essere considerato un meccanismo comune alla base di...
Omega-3 per il dry eye: tra mito e realtà
Riassunto
La supplementazione degli acidi grassi omega-3 nel trattamento del dry eye è un argomento di grande interesse...
Il canale di Schlemm nella tonometria ad applanazione
Riassunto
Il canale di Schlemm nella tonometria ad applanazione ovvero come integrare efficacemente tonometria non a contatto e...
















