Home
La rivista
Board
Norme redazionali
Abbonati a Eye Doctor
video
News
contenuto sponsorizzato
Interviste
Articoli scientifici
Caso clinico
Ricerca sperimentale
I casi clinici di Lucio Buratto
Aggiornamento professionale
Prodotti
Eventi
Cerca
EYE DOCTOR
Home
La rivista
Board
Norme redazionali
Abbonati a Eye Doctor
video
News
contenuto sponsorizzato
Interviste
Articoli scientifici
Caso clinico
Ricerca sperimentale
I casi clinici di Lucio Buratto
Aggiornamento professionale
Prodotti
Eventi
Home
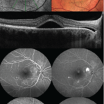
Terapia fotodinamica a dose ridotta vs trattamento laser micro pulsato sotto-soglia ad alta densità
Schermata 2018-10-15 alle 10.50.57
Schermata 2018-10-15 alle 10.50.57
Edicola
Edicola Web
News
Nd:YAG Laser nella Cataratta Secondaria – Guida pratica per IOL monofocali,...
14 Aprile 2026
EVER CONGRESS 2026
8 Aprile 2026
L’app Enpam si rinnova, più servizi per gli iscritti
1 Aprile 2026