Home
La rivista
Board
Norme redazionali
Abbonati a Eye Doctor
News
contenuto sponsorizzato
Interviste
Articoli scientifici
Caso clinico
Ricerca sperimentale
I casi clinici di Lucio Buratto
Aggiornamento professionale
Prodotti
Eventi
Cerca
EYE DOCTOR
Home
La rivista
Board
Norme redazionali
Abbonati a Eye Doctor
News
contenuto sponsorizzato
Interviste
Articoli scientifici
Caso clinico
Ricerca sperimentale
I casi clinici di Lucio Buratto
Aggiornamento professionale
Prodotti
Eventi
Home
Varice della vena vorticosa: meno dell’1% fra gli pseudomelanomi
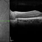
Figura 4. Bscan eseguita sulla lesione.
Figura 4. Bscan eseguita sulla lesione.
Figura 4. Bscan eseguita sulla lesione.
Edicola
Edicola Web
News
Medicina personalizzata nella degenerazione maculare legata all’età (Age-related Macular Degeneration, AMD)
12 Gennaio 2026
Cataratta e sindrome dell’occhio secco: gestione peri-operatoria nella facoemulsificazione
8 Gennaio 2026
Cataratta: prevenire i picchi di IOP post-operatori. L’OVD è la causa?...
23 Dicembre 2025