Home
La rivista
Board
Norme redazionali
Abbonati a Eye Doctor
News
contenuto sponsorizzato
Interviste
Articoli scientifici
Caso clinico
Ricerca sperimentale
I casi clinici di Lucio Buratto
Aggiornamento professionale
Prodotti
Eventi
Cerca
EYE DOCTOR
Home
La rivista
Board
Norme redazionali
Abbonati a Eye Doctor
News
contenuto sponsorizzato
Interviste
Articoli scientifici
Caso clinico
Ricerca sperimentale
I casi clinici di Lucio Buratto
Aggiornamento professionale
Prodotti
Eventi
Home
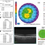
Sorpresa refrattiva post FLACS+IOL-T premium
FIG_2
FIG_2
Edicola
Edicola Web
News
Medicina personalizzata nella degenerazione maculare legata all’età (Age-related Macular Degeneration, AMD)
12 Gennaio 2026
Cataratta e sindrome dell’occhio secco: gestione peri-operatoria nella facoemulsificazione
8 Gennaio 2026
Cataratta: prevenire i picchi di IOP post-operatori. L’OVD è la causa?...
23 Dicembre 2025