Home
La rivista
Board
Norme redazionali
Abbonati a Eye Doctor
News
contenuto sponsorizzato
Interviste
Articoli scientifici
Caso clinico
Ricerca sperimentale
I casi clinici di Lucio Buratto
Aggiornamento professionale
Prodotti
Eventi
Cerca
EYE DOCTOR
Home
La rivista
Board
Norme redazionali
Abbonati a Eye Doctor
News
contenuto sponsorizzato
Interviste
Articoli scientifici
Caso clinico
Ricerca sperimentale
I casi clinici di Lucio Buratto
Aggiornamento professionale
Prodotti
Eventi
Home
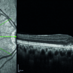
Neovascolarizzazioni coroideali nelle infiammazioni oculari
Grosso_002
Grosso_002
Edicola
Edicola Web
News
Ophthalmic viscosurgical devices nella chirurgia della cataratta: dalla scelta del prodotto...
16 Gennaio 2026
Glaucoma: monitoraggio della neuroprotezione nella pratica clinica
16 Gennaio 2026
Medicina personalizzata nella degenerazione maculare legata all’età (Age-related Macular Degeneration, AMD)
12 Gennaio 2026