Terapia fotodinamica a dose ridotta vs trattamento laser micro pulsato sotto-soglia...
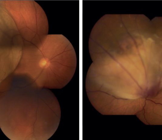
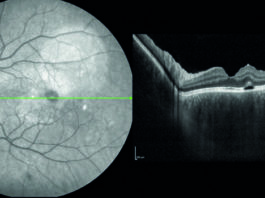
La corioretinopatia sierosa centrale (CSC) è una malattia corioretinica relativamente comune, potenzialmente responsabile di una riduzione irreversibile...
Occhio secco: il paziente con storia clinica di blefarite cronica e...
Giunge alla nostra osservazione al CIOS, Centro Italiano Occhio Secco presso CAMO, una paziente di 56 anni...
Strumentazione ad alta tecnologia per la diagnosi dell’occhio secco
Riassunto
La dry eye disease (DED) è una condizione multifattoriale complessa, spesso difficile da diagnosticare per la scarsa...
Aggiornamenti su optical coherence tomography angiography: miglioramenti conseguiti e prospettive future
Negli ultimi anni la metodica nota come optical coherence tomography angiography (OCTA) ha aperto nuove strade nell’imaging...
Neovascolarizzazioni maculari nell’atrofia geografica
La degenerazione maculare legata all’età (age related macular degeneration, AMD) rappresenta la prima causa di cecità nelle...
Miopia: quali terapie per rallentarne la progressione?
La miopia è un disordine rifrattivo nel quale le immagini vengono focalizzate davanti alla retina.
La miopia può...
Infezioni corneali: criteri per una diagnosi eziologica
Qualsiasi infezione corneale deve essere considerata un'emergenza oftalmologica, in quanto può determinare un'alterazione dell'integrità anatomica del bulbo...
Complicanza postoperatoria precoce dopo impianto di lente fachica da camera posteriore
Giunge presso il nostro centro chirurgico una paziente quarantacinquenne alla ricerca di indipendenza da occhiali e lenti...
La chirurgia mini-invasiva nel trattamento del glaucoma (MIGS)
Il glaucoma è un gruppo di neuropatie ottiche caratterizzate dalla perdita progressiva e irreversibile di cellule ganglionari...
L’utilizzo del laser sottosoglia nella degenerazione maculare secca
Degenerazione maculare senile
La degenerazione maculare senile (AMD) è la terza causa di cecità nel mondo ed è...
















