Le congiuntiviti allergiche in età pediatrica
La congiuntivite allergica è una patologia molto frequente che interessa fino al 20% della popolazione mondiale (1)....
Impatto della retinopatia diabetica sulla gestione del glaucoma
Riassunto
Il diabete mellito può portare a una serie di complicanze, tra cui la retinopatia diabetica e il...
L’infiammazione della superficie oculare è dannosa per le cellule staminali epiteliali...
1Molte malattie oculari caratterizzate da infiammazione acuta severa (per esempio: ustioni corneali) o cronica (graft versus host...
La presa in carico del paziente cronico glaucomatoso: sinergie territorio-ospedale
Il miglioramento dello stato di salute, l’aumento dell’aspettativa di vita e il conseguente invecchiamento della popolazione rappresentano...
Una seria complicanza da vitreolisi
Una paziente di 61 anni giunse alla visita oculistica di controllo a marzo del 2015 lamentando la...
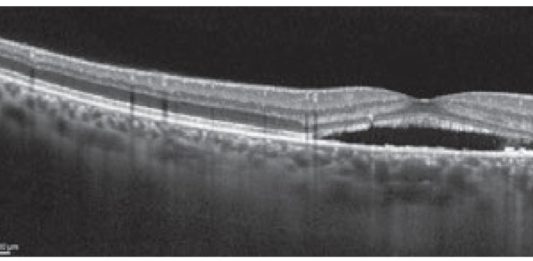
Brolucizumab: un nuovo orizzonte nella cura delle maculopatie
La degenerazione maculare legata all'età (DMLE) neovascolare, contraddistinta dalla presenza di una rete neovascolare patologica a livello...
La nutraceutica nella degenerazione maculare legata all’età
Secondo i dati di Quintiles IMS Italia, con 41 euro di spesa media annua, gli italiani sono...
Degenerazione maculare non essudativa e nuove prospettive terapeutiche
Riassunto
La degenerazione maculare legata all’età (DMLE) è una patologia retinica progressiva e una delle principali cause di...
Femtolasik anche in caso di grave danneggiamento del flap
Nel giugno del 2018 è giunta alla nostra osservazione una donna di 38 anni che si era...
L’imaging Ultra-Wide-Field (UWF) nella diagnosi e nella stadiazione della retinopatia diabetica
Riassunto
L'angiografia con fluoresceina (FA) è fondamentale per valutare le aree ischemiche, le anomalie microvascolari intraretiniche e le...
















